36岁的陈先生胃部隐痛反复一个月,自行服药仅能暂时缓解。他原以为是胃病作祟,直到突发剧烈绞痛后就医检查,才发现胃内藏着一枚长达8厘米的打火机。这枚异物与他一个月前的一次醉酒经历有关。

一个月前,陈先生与朋友聚餐时饮酒过量,直至意识模糊。混乱中他随手把打火机误当作食物吞下,醒后毫无相关记忆,只感觉胃部隐痛、反酸。他将其归为宿醉引发的胃部不适,自行服用护胃药后症状暂时缓解,未放在心上。此后的一个月里,胃部隐痛反复出现,偶尔还伴随恶心症状,陈先生始终以“老胃病”为由敷衍应对,未及时就医检查。

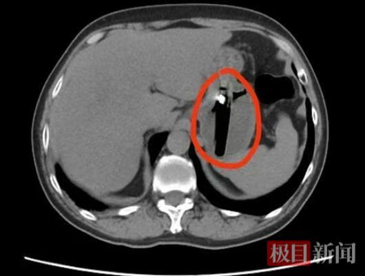
1月18日,陈先生突发上腹部绞痛,疼痛呈阵发性加剧,坐卧难安、恶心不止,紧急前往长江航运总医院·武汉脑科医院就诊。急诊胸腹部CT显示,陈先生胃内有一长约8厘米的异物。普外科二病区接诊医师郭敦伟通过追问其饮酒史和近期不适,初步推断为醉酒后误吞了打火机。郭敦伟解释,醉酒会导致咽喉部神经反射迟钝、判断力下降,且食管平滑肌松弛,使得本应被识别的异物顺利进入胃内。由于异物尺寸过长,无法通过幽门进入肠道自行排出,长期在胃内随蠕动反复摩擦胃壁,极易引发黏膜损伤甚至溃疡。更危险的是,胃酸持续腐蚀可能导致打火机外壳破损,内部易燃气体泄漏引发中毒,甚至穿透胃壁造成穿孔、腹膜炎。基于检查结果和病情评估,郭敦伟建议立即手术取出异物。
鉴于异物体积大、形态不规则,常规异物钳难以抓取,圈套器调整方向易损伤胃食管黏膜;且打火机内含有易燃气体,盲目操作可能引发意外。在该科主任曾翔的指导下,手术医师郭敦伟在全麻下创新采用医用防护手套取出异物,成功规避风险,并完整将打火机取出,未对胃壁及食管造成二次损伤。
术后,陈先生腹痛症状改善,需控制饮食、密切观察48小时无异常,即可办理出院。郭敦伟提醒,日常进食需专注,不嬉戏打闹,误吞后切勿自行用手抠挖或吞咽饭团等方式处理,以免加重损伤。他指出,胃内长度超6厘米的硬质异物通常难以自行排出,误吞后若出现反复腹痛、反酸或突发剧痛、呕吐宿食,可能是异物梗阻或损伤黏膜,需立即就医。